Das Augenoptikgeschäft 2.0 – Detektei für gutes Sehen und Augengesundheit

Abbildung 1 - Quelle: ZVA Report Dez. 2018

Hendrik Edelthalhammer ist Experte für das Screening der Augen im Augenoptikbetrieb. Seit einiger Zeit hat er sich auf das Screening mit dem OCT der DAO spezialisiert. In diesem nachfolgenden Fachartikel beschreibt er detailliert seinen Screening-Alltag und geht auf zahlreiche Fallbeispiele ein.

Dieser persönliche Erfahrungsbericht ist an Sie gerichtet – den erfolgreichen Augenoptiker (m/w/d), der von seinen Kunden geschätzt wird und seit Jahrzehnten am Markt ist. Sie möchten in Ihre berufliche Weiterbildung investieren und Ihren Kunden Ihr Angebot an Dienstleistungen ausbauen. Weil Sie immer öfter von Ihren Kunden zu hören bekommen: „Einen Termin beim Augenarzt? Da muss ich doch mindestens ein halbes Jahr darauf warten.“ Sie haben erkannt, dass es in Ihrer Region ein Versorgungsproblem gibt. Sie haben deshalb Lust, für die Augengesundheit Ihrer Kunden einzustehen. Sie haben den Anspruch an sich selbst, es redlich machen zu wollen! Und Sie wissen, dass Sie die dafür nötige Wissensvermittlung nicht in einem Crash-Kurs zu erwarten haben.

Wenn Sie dauernd nicken, lesen Sie gerne weiter – schütteln Sie aber den Kopf, blättern Sie einfach um!

„Erfolg ist freiwillig.“ (Manfred Stockmann, Autor) jedoch „Vor den Erfolg haben die Götter den Schweiß gesetzt.“ (Hesiod, Dichter, Griechenland 715-650 v. Chr.)

Dass es diese Versorgungsproblematik in Deutschland gibt, können Sie der „Statistik des Monats“ des ZVA-Reports vom Dezember 2018 entnehmen. Sie zeigt, dass es in Deutschland einen nachweislich stetigen Rücklauf an niedergelassenen Augenärzten gibt (Abb. 1).

Welche Weiterbildungsmöglichkeiten haben Sie?

Sie haben deutschlandweit mehrere Optionen, das erforderliche Wissen vermittelt zu bekommen. Ich habe mich damals für den berufsbegleitenden Masterstudiengang der Hochschule Aalen entschieden, weil dieser mir direkt die Möglichkeit bot, das Gelernte sofort in meinen beruflichen Alltag zu integrieren.

Ein weiteres entscheidendes Kriterium waren die Kooperation mit den beiden US-Amerikanischen Colleges, dem New England College of Optometry (NECO) in Boston und der Pacific University in Forrest Grove. Der Vorteil des Aalener Masterstudienganges ist unter anderem, dass Sie von Seiten der externen Professoren keinerlei berufspolitisches Kalkül zu befürchten haben und Sie bekommen deren Wissen neutral, ehrlich und wissenschaftlich valide vermittelt.

Welche Geräteanschaffung ist sinnvoll?

Wir stellten uns bei HESS United Optics die Frage, welches Gerät, den breitesten Nutzen für unsere Kunden erfüllen würde. Legen wir uns eine Weitwinkel-Funduskamera, ein Scanning-Laser-Ophthalmoskop oder eine Funduskamera mit OCT zu? Im Februar 2019 investierten wir in das Huvitz OCT, das von der Deutschen Augenoptik AG vertrieben wird. Es ist selbsterklärend und kinderleicht anzuwenden, ähnlich einem Autorefraktometer. Es bietet neben einem echten Fundusbild die entscheidende Option, detektieren zu können, an welchem Ort die lokalisierte Normabweichung vorliegt. Weiter leistet es für unser Glaukom-Screening eine ethnisch differenzierte Analyse der Dichte der retinalen Nervenfaserschicht. Dies ist für uns eine echte Bereicherung in der Kommunikation mit den lokalen Augenärzten und Kliniken.

Wer wir sind!

Die Optik Hess GmbH wurde vor 39 Jahren gegründet und existiert mittlerweile in zweiter Generation erfolgreich am Markt. In der Region des Dreiländerecks Deutschland/Frankreich/Schweiz sind wir bekannt für authentische und individuelle Brillenberatung. Seit 2017 gehört Optik Hess als eines der ersten deutschen Geschäfte der United Optics Gruppe an.

Der Bedarf an optometrischer Dienstleistung und breitem Kontaktlinsen Know-how wuchs stetig und im Sommer 2017 begonnen wir mit Hilfe von Hendrik Edelthalhammer – Augenoptikermeister, Optometrist (HWK) und Master of Science in Vision Science and Business (Optometry) – mit dem Ausbau der breit aufgestellten Kontaktlinsenabteilung und dem Aufbau an optometrischen Dienstleistungen.

Was bringt Ihnen diese Weiterbildung und welchen Nutzen haben Ihre Kunden durch die Geräteinvestitionen?

Wir haben Ihnen im Anschluss einige Fallbeispiele zusammengestellt, die uns bei einer „normalen“ Refraktion nicht hätten auffallen können:

Fallbeispiel 1:

Eine 74-jährige Frau mit positiver Familienanamnese Altersbedingte Makuladegeneration (AMD – bekannt bei der Mutter sowie der Tante mütterlicherseits), kam wegen zu langer Terminwartezeit beim Augenarzt zu uns. Ihr letzter Augenarzttermin war vor zwei Jahren.

Vor fünf Jahren musste sie sich einer Operation unterziehen, bei der ihr mehrere Meningeome (gutartige Tumore der Hirnhaut) entfernt wurden. Eines davon befand sich am linken Sehnerv (der Sehnerv ist ebenfalls von den Hirnhäuten umschlossen, daher können Meningeome auch dort auftreten).

Die mit non-contact Tonometrie gemessenen Augeninnendruckwerte lagen beidseits im Normbereich.

Eigene Brille 4 J. alt
R: +2,50
L: +2,50
Add. 2,25
Vcc damit zum Zeitpunkt der letzten Augenprüfung nicht bekannt.

Subj. Ref.
R: +3,25, Vcc 1,0
L: +2,75 Vcc 0,5
Add. 2,25

Ihre Pupillen waren im Hellen wie im Dunklen seitengleich, zeigten prompte Lichtreaktion und keinen relativen afferenten Pupillendefekt.
Ein postoperativer Defekt am linken Sehnerv konnte somit ausgeschlossen werden.

Amsler-Test: R: unauffällig L: starke Metamorphopsien von Rand zu Rand über das gesamte Testfeld

Konfrontations-GF: R: unauff. L: temp. eingeschränkt

Relevante Spaltlampenbefunde:
Beidseits leichte Trübungen der Augenlinsen.
Eine Visusreduktion durch eine etwa fortgeschrittene Katarakt auf dem linken Auge bestätigte sich hierdurch nicht.

Die indirekte Ophthalmoskopie mit der 90-Dioptrien-Lupe an der Spaltlampe gestaltete sich schwierig und war nicht aussagekräftig.

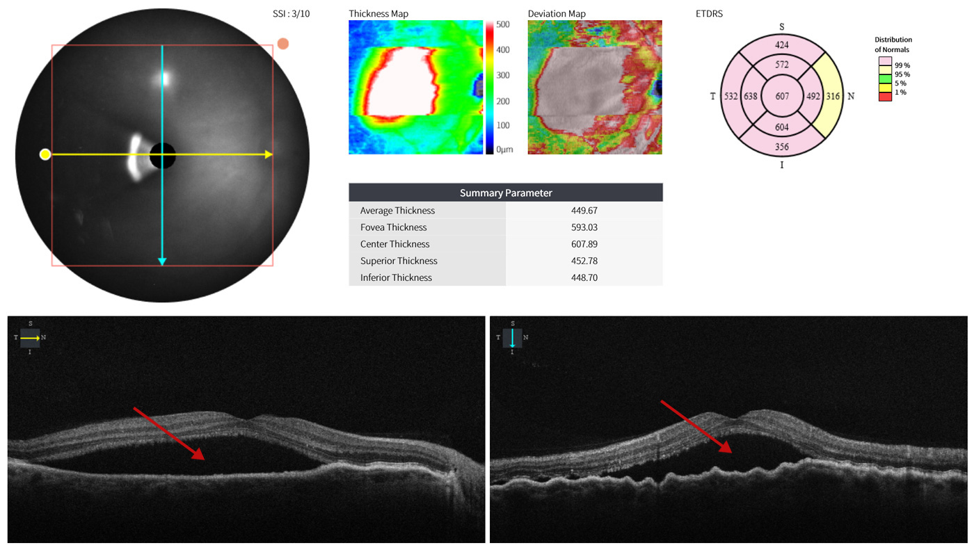
Die stattdessen durchgeführte Messung mit dem Huvitz OCT lieferte folgende Ergebnisse:

Die Fundusfotografie zeigte keine Auffälligkeit, die diese Visusreduktion auf dem linken Auge erklären lässt (Abb. 2).

Abbildung 2 – Farb- und Infrarot-Fundusfotografie, linkes Auge

Die Optische-Kohärenz-Tomographie (OCT) gab schließlich begründeten Aufschluss, weshalb der linke Visus der Kundin bei nur 0,5 lag – eine Epiretinale Membran (ERM). Mittels OCT wird die Hyperreflexion der ERM deutlich (Abb. 3, roter Pfeil).

Die geordnete Struktur einer gesunden Makula ist nicht zu erkennen (Abb. 5). Durch die Zugkräfte einer Epiretinalen Membran, die eine Proliferation von Gliazellen darstellt, werden die sonst zur Seite verlagerten Schichten (die retinale Nervenfaserschicht (gelber Pfeil), die Ganglienzellschicht (grüner Pfeil), die innere plexiforme Schicht (blauer Pfeil) und die innere Körnerschicht (oranger Pfeil)) zueinander hin gezogen und die Grubengestalt der Makula verschwindet in diesem Fall. Sowohl in der Dickenanzeige (Abb. 3, Thickness Map) als auch in der 3-D Animation (Abb. 4) ist die normale Erscheinung der Makula nicht zu erkennen. Auf der Anzeige für Abweichungen ist ein großes graues Areal der Abweichung zur Normalverteilung sichtbar (Abb. 3, Deviation Map). Und in der Dickenanzeige sind ebenfalls verdickte Sektoren der einzelnen Messareale auszumachen (Abb. 3, ETDRS, rosa Areale).

Aufnahme einer Makula nach einem OCT Augenscreening
Abbildung 4 - 3-D Simulation der Makula, linkes Auge
Abbildung 5 - Internationale Nomenklatur für normale OCT Terminologie, Quelle: https://www.semanticscholar.org/paper/Proposed-lexicon-for-anatomic-landmarks-in-normal-Staurenghi-Sadda/d0dedca94b4deaf1b1414d9355528be071d40ea3/figure/1, 4.8.2019 19:23 Uhr

Unsere Kundin stimmte der Datenübermittlung an ihre Augenärztin zu. Anschließend versandte ich den Bericht über das bei ihr durchgeführte optometrische Screening, inklusive der Bilddateien und einer Verdachtsdiagnose per Email. Durch die Berichterstattung an ihre Augenärztin, bekam sie innerhalb einer Woche einen Termin und eine Überweisung ans Freiburger Universitätsklinikum.

Die Kundin wurde zwischenzeitlich in der Universitätsaugenklinik Freiburg operiert. Sie ist sehr dankbar für die von uns angebotene Dienstleistung, da ihr so sechs Monate Wartezeit erspart wurden. Denn ihre Augenärztin hätte sie normalerweise erst in etwa einem halben Jahr sehen können.

 

Fallbeispiel 2:

Ein Neukunde, männlich, 62 Jahre alt, kam durch direkte Kundenempfehlung zum optometrischen Screening zu uns.

Aus der Anamnese erschlossen sich keine Besonderheiten aus Familienhistorie und seiner persönlicher Augenhistorie.

Seine bisherigen Brillenstärken waren folgendermaßen:
R: +0,50 -0,75 160°
L: +0,50 -1,00 4°
Add.: 2,25

Seine mit non-contact Tonometrie gemessenen Augeninnendruckwerte lagen beidseits im Normbereich und waren damit für uns unauffällig.

Die subjektive Refraktion ergab folgende Ergebnisse:
R: +1,25 -0,75 124°
L: +1,00 -0,50 23°
Add. 2,00
Vcc 1,0 beidseits

Am Amsler-Gitter zeigten sich keine Auffälligkeiten.

Das zentrale Fundusbild zeigte ein dezentes weißliches Areal supero-temporal der Makula (Abb. 6, grüne Kreise)

 

Abbildung 6 - zentrales Fundusbild, linkes Auge

Im Makula OCT ist jedoch eine hyperreflektive Schicht an der zentralen Makula oberhalb der retinalen Nervenfaserschicht sowie Stauchungsfältchen der retinalen Nervenfaserschicht zu erkennen, was aufgrund des guten Visus auf eine milde Form einer Epiretialen Membran schließen lässt (Abb. 7, roter Pfeil und rote Ellipsen).

Makula OCT mit rot markierter milder Form einer Epiretialen Membran

Fallbeispiel 3:

Eine 68-jährige Frau, letzter Augenarztbesuch lag länger als 10 Jahre zurück, kam mit leichten Visusproblemen in der Nähe zu uns. Es lag keine positive Familienanamnese für Augenkrankheiten vor und auch sonst hatte sie in der Vergangenheit keine Augenprobleme.

Die mit non-contact Tonometrie ermittelten Augeninnendruckwerte lagen beidseits im Normbereich.

Die Pupillen waren im Hellen wie im Dunklen seitengleich, zeigten prompte Lichtreaktion und keinen relativen afferenten Pupillendefekt.

Letzte Refraktion vor 2 J.
R. +5,50 -0,50 180°
L: +5,50
Vcc R/L 1,0
Add. 2,50

Subj. Refra.
R: +6,50
L: +5,75
Vcc R/L 0,8
Add.: 2,25

Sowohl Amsler-Gitter zentral als auch Konfrontationsgesichtsfeld peripher waren unauffällig.

Relevante Spaltlampenbefunde:
Die Winkel der vorderen Augenkammer waren offen (R/L 1:1/2 nach van Herick Methode).
Beidseits waren an Iris und Linsen Anzeichen von Pseudoexfoliationssyndrom (PEX) und altersgerechte Trübungen vorhanden.

Die indirekte Ophthalmoskopie war unauffällig.

Am Huvitz OCT zeigte sich folgender Zustand (Abb. 8).

 

Abbildung 8 - Makula OCT, R/L

Beidseits sind Hyperreflexionen oberhalb der Netzhaut zu erkennen (Abb. 8, rote Pfeile). Hierbei handelt es sich um die hintere Glaskörpergrenzmembran, die beidseits partiell von der Netzhaut abgehoben ist. Rechts wie links ist sie noch fest mit der Makula verbunden, rechts (OD) ist die Traktion stärker, da hier die Senke der Makula zentral aufgehoben ist (Abb. 8, grüner Pfeil). Die darunterliegenden Strukturen sind intakt.

Unsere Kundin wurde über die Situation aufgeklärt, erhielt ein Amsler-Gitter für den Selbsttest mit nach Hause und wurde gebeten, sich bei Erscheinungen von Lichtblitzen und/oder Matamorphopsien (Verformungswahrnehmung) Kontakt mit ihrem Augenarzt aufzunehmen. Weiter erhielt sie die Empfehlung sich nach etwa sechs Monaten zur Kontrolle zu melden.

Fallbeispiel 4:

Eine 56-jährige Frau mit positiver Familienanamnese auf Katarakt des Vaters, kam für einen routinemäßiges optometrisches Screening zu uns.

Allgemein ergaben sich aus der Anamnese keine Auffälligkeiten. Sie hat keinen Augenarzt und war demzufolge auch noch nie bei einem Augenarzt zur Vorsorgeuntersuchung.
Sie schilderte bei längeren konzentrierten Sehaufgaben zunächst ein brennendes Gefühl mit anschließendem Augentränen.

Die mit non-contact Tonometrie gemessenen Augeninnendruckwerte lagen beidseits im Normbereich.

Ihre letzte Brille war 1,5 Jahre alt.
R: -0,25
L: +0,50 -0,75 166
Vcc damals 1,0p
Add. 1,75

Subj. Refra.
R: plan -0,25 20°, Vcc 1,0
L: +0,25 -0,25 160°, Vcc 0,8
Add. 2,25

Amsler-Test: R: unauffällig L: jeweils schräg nach links und rechts unterhalb der Testmitte nahm sie Wellenerscheinungen wahr.

Relevante Spaltlampenbeobachtungen:
Hornhaut: R/L durch inkomplette Lidschläge sektorielle Keratoconjunctivitis sicca, R inferior, L inferior/nasal. Beidseits flächige tiefergehend epitheliale diffuse fluopositive Areale der Horn- und Bindehäute.
Linse: altersgerechte Trübungen beidseits

Die indirekte Ophthalmoskopie (90-Dioptrien-Lupe) lieferte folgende Befunde:
Makula: R: Pigmentverschiebung, L: Pigmentverschiebung, DDx beginnende AMD
R: 1DD superior/nasal der Makula, weißlich glitzerndes Areal, DDx: ERM (Abb. 9 und Abb. 10, grüner Kreis)
L: 1,5DD supero-temporal der Makula weißgelbe punktförmige Läsion, DDx 1 Druse, RPE Festerdefekt

 

Abbildung 9 - Farbbild, zentraler Fundus, rechtes Auge
Abbildung 10 - Grünfilter, zentraler Fundus, rechtes Auge

Im rotfreien Licht erhält man eine differenziertere Information von oberflächlich liegender Netzhautschichten und deren Veränderungen (Abb. 10, grüner Kreis). Im OCT Schnitt ist ein hyperreflektives Areal auf der Netzhautoberfläche sichtbar (Abb. 11, gelber Pfeil). Hierbei handelt es sich um ein Frühstadium einer Epiretinalen Membran.

Abbildung 11 - horizontaler OCT Schnitt, ERM, rechtes Auge
Abbildung 12 - Farbbild, zentraler Fundus, linkes Auge

In Abbildung 12 sind mehrere kleine, punktförmige weißliche Läsionen, sowohl im Bereich der Makula, etwa 0,5-1DD temporal der Papille und an der Arterie der oberen Arkade kurz nach der ersten Bifurkation zu sehen (Abb. 12, grüne Pfeile und grüne Kreise).

Im Infrarotbild der Netzhaut des linken Auges, werden die Veränderungen tiefer liegender Netzhautschichten der Makula differenzierter sichtbar (Abb. 13, grüne Kreise).

Abbildung 13 - Infrarotbild, zentraler Fundus, linkes Auge

In den OCT Schnitten sind hyperreflektive punktförmige Erscheinungen sichtbar. Dies könnten Exsudate oder Mikroaneurismen sein. Da diese Hyperreflektionen im Schnittbild der Makulasenke sind, scheiden Mikroaneurismen wegen der avaskulären Region der Makula aus. Exsudate können Hinweise auf entzündliche Prozesse oder Blutungen sein (Abb. 14, rote Pfeile). Weiter sind Verschiebungen der Linien- und Bandreflexe im Bereich der Schichten der Photorezeptoren-Außensegmente, der Interdigitationzone und des RPE/Bruch´s Komplexes sichtbar. Es könnte sich bei den Hyperreflexionen somit auch um migrierte Zellen des Retinalen Pigmentepithels handeln (Abb. 14, rote Pfeile).

Das flache, sehr dunkle Areal deutet auf eine gewisse Flüssigkeitseinlagerung im Gewebe hin (Abb. 14, grüne Pfeile).
Die mit gelben Pfeilen markierten Reflektionen sind Blutgefässe, die innerhalb der Netzhaut verlaufen. Darunter entstehen Schallschatten (Abb. 14, gelbe Klammern).

Abbildung 14 - Makula OCT, linkes Auge

Die Kundin wurde über das eventuelle Vorhandensein einer Entzündung aufgeklärt und nach ihrer Genehmigung übermittelten wir unseren Bericht nebst Bilddateien an die örtliche Augenärztin, die sie nun weiter betreut.

Für die Keratoconjunctivitis sicca begonnen wir mit der Information zum bewusstem und regelmäßigen Lidschlag vor allem bei konzentrierten Arbeiten, wie Arbeiten am PC und lesen. Ergänzend dazu 0,1% hyaluronsäurehaltige Augentropfen tagsüber und kurz vor dem Schlafen 0,3% hyaluronsäurehaltiges Augengel.

Als weitere Optionen hielten wir uns offen, unserer Kundin zur Nacht mit einer Vitamin-A Augensalbe oder einer hochsauerstoffdurchlässigen Silikonhydrogel-Verbands-Kontaktlinse zu helfen.

Fallbeispiel 5:

Ein 66 Jahre alter Mann, kam aufgrund anhaltender Visusprobleme rechts in Ferne und Nähe zum optometrischen Screening zu uns.

Allgemein lagen keine Auffälligkeiten vor. Er begab sich vor kurzem in den Ruhestand. Sein letzter Augenarzttermin lag etwa 1 Jahr zurück.
Letzte Brille von vor einem Jahr:
R: +3,25
L: +2,00
Add.: 2,75
Vcc damals: R 0,6, L 1,0

Aktueller Visus mit dieser eigenen Brille in der Ferne R: 0,5 L: 1,0, in der Nähe: R 0,32, L 1,0

Die Mittels non-contact Tonometrie gemessenen Werte des Augeninnendrucks lagen im Normbereich.

Subjektive Refraktion:
R: +4,00 -0,50 50°
L: +2,25 -0,25 83°
Add.: 2,50
Vcc R: 0,7, L: 1,25p

Amsler: R: nicht eindeutig L: unauffällig

Relevante Spaltlampenbefunde:
Linse: altersgerechte Trübungen beidseits

Eine Funduskopie mittels 90-Dioptrien-Lupe war aufgrund starker Lichtempfindlichkeit einsetzendem Blepharospasmus nicht möglich.

 

Abbildung 15 - Farbbild, zentraler Fundus, rechtes Auge

Abbildung 15 sieht aufgrund der Trübung der Augenlinse weichgezeichnet aus. Ein signifikanter Grund für die Visusreduktion ist nicht erkennbar.

Abbildung 16 - Makula OCT, rechtes Auge

In Abbildung 16 ist eine vollständige Abhebung der sensotischen Netzhaut deutlich zu erkennen. Der Raum zwischen Photorezeptoren und RPE-Bruch´s Komplex ist mit seröser Flüssigkeit gefüllt (roter Pfeil).

Im OCT zeigt sich am rechten Auge das Erscheinungsbild einer Retinopathia centralis serosa (RCS) (Abb. 16).
Dieses pathologische Erscheinungsbild ist für ein Alter von 66 Jahren außergewöhnlich. Die Literatur beschreibt eine höhere Inzidenz bei ca. 40-50-jährigen Typ-A Persönlichkeiten (Managertypen) als Stressreaktion bei dauerhaft hohem Leistungs- und Stresslevel. Eventuell lässt sich bei unserem Kunden eine vergleichbare Stressbelastung aufgrund des Wechsels in den Ruhestand herstellen.

Abbildung 17 - 3D-Animation, Makula, rechtes Auge

In der 3D-Simulation der Makula des rechten Auges, wird eine deutliche Erhebung veranschaulicht (Abb. 17).
Durch die Abhebung der Makula, wird eine Pseudohyperopie induziert. Daher die höhere Plus-Refraktion im Vergleich zu seiner vorherigen Brille von vor einem Jahr.

Nach Genehmigung durch den Kunden, berichteten wir seinem Augenarzt von dem optometrischen Screening bei uns. Der Augenarzt war sehr dankbar über diese spezifische Zuweisung, da defacto diese Veränderung bei der Beobachtung mit der 90-Dioptrien-Lupe nicht sichtbar ist. Der Visus ist trotz der verhältnismäßig großen zentralen Abhebung vergleichsweise gut.

Der Kunde wurde zwischenzeitlich im Uniklinikum Freiburg untersucht und therapiert. Die Therapie ist vergleichsweise banal und lautet primär Stressreduktion. Die sogenannten Managertypen würden vom Augenarzt krankgeschrieben werden und Ruhe verordnet bekommen.

Nach einem halben Jahr ist er nun wieder bei alter Refraktion und einem Visus rechts von 0,8. Die seröse Flüssigkeit ist vollständig resorbiert und die sensorische Netzhaut liegt wieder an. Was der Grund für die Falten im RPE-Bruch´s Komplex ist, bleibt offen (Abb. 18).

Abbildung 18 - Makula OCT nach 6 Monaten, rechtes Auge

Fallbeispiel 6:

Im Frühjahr 2019 hielten wir vor den hiesigen Kinderärzten einen Vortrag zum Thema Myopiemanagement. Daraufhin kam der Mann einer Kinderärztin – 50 Jahre, selbst Arzt – zum optometrischen Screening zu uns.

Die Anamnese ergab keine positive Familienanamnese auf Augenerkrankungen und auch er selbst war noch nie in augenärztlicher Behandlung.

Seine Refraktionswerte waren zu seiner bisherigen Brille unverändert und lauteten:
R: plan -1,25 140°
L: plan -2,00 31°
Add. 1,75
Vcc: 1,0 beidseits

Die mit non-contact Tonometrie ermittelten Augeninnendruckwerte lagen mit 20mmHg rechts und 19mmHg links im oberen Normwertbereich.

Relevante Spaltlampenbefunde ergaben sich nicht.

Die zentralen Fundusbilder zeigten keine Auffälligkeit.

Die Aufnahmen seiner Papillen sahen wie folgt aus (Abb. 19).

 

Abbildung 19 - Papillenfotografie, beidseits

Abbildung 19: beide Sehnervenköpfe sind rund und scharf begrenzt. Beide Randsäume sehen vital aus. Der rechte Sehnerv ist auffälliger, da er nicht der ISNT-Regel folgt. Der linke hingegen folgt der ISNT-Regel. Die Exkavation (heller erscheinende innere Vertiefung des Sehnervenkopfes) sieht rechts gleichmäßig, links Richtung temporal irregulär auslaufend aus (rote Klammer). Beidseits ist die Struktur der Lamina cribrosa sichtbar, was für eine tiefe Exkavation spricht. Die C/D-Ratios bewerteten wir auf rechts 0,60 und links 0,50.

Abbildung 20 - Darstellung der Dichte des retinalen Nervenfasergewebes, rechtes Auge

Abbildungen 20 und 21 zeigen jeweils links als grüne geviertelte Kuchendiagrammprojektion das Auswerteareal um den Sehnervenkopf an. Auf der rechten Bildhälfte in Abbildung 20 werden alle Messquadranten grün – also unauffällig – eingestuft (Abb. 20, RNFL Quadrant). Dennoch ist infero-temporal eine grenzwertige Stelle zu erkennen (Abb. 20, schwarzer Kreis).

Abbildung 21 - Darstellung der Dichte des retinalen Nervenfasergewebes, linkes Auge

In der rechten Bildhälfte auf Abbildung 21 werden zwei Segmente der „RNFL Clock Hours“ gelb – also grenzwertig – dargestellt. Hier werden zwei grenzwertige RNFL-Schichtdickenbereiche infero-temporal und supero-temporal angezeigt (Abb. 21, schwarze Ellipse und schwarzer Kreis).

Da die Software nicht intelligent ist, kann sie nicht zwischen flächig größeren- oder kleineren Sehnervenköpfen unterscheiden. Wenn man gedanklich die beiden Höcker (superior-temporal und inferior-temporal) in der Normalverteilungsgrafik an die Kurve des Kunden anpasst, also enger schiebt, rutschen die grenzwertigen Bereiche wieder in die grünen Bereiche und wären somit unauffällig.
Weil der rechte Sehnerv dennoch nicht der ISNT-Regel folgt, wäre es vorteilhaft, wenn ein Augenarzt den Status bei Zeiten bewertet. Dies ist aber sicherlich nicht eilig und kann zu einer regulären Terminvergabe erfolgen.

Unserem Kunden wurde kommuniziert, dass diese grenzwertigen RNFL-Areale völlig normal sein können und es sich erst im Verlauf zeigen wird, ob sich ein fortschreitender Prozess entwickelt. Die Wichtigkeit regelmäßiger Vorsorge muss in so einem Fall dem Kunden vermittelt werden. Da der Kunde selbst Arzt ist, war das keine große Herausforderung.
Eine ebenfalls als Basismessung durchgeführte Gesichtsfeldmessung wäre zusätzlich empfehlenswert, wenngleich hier erste Auffälligkeiten sich erst bei einem Verlust von ca. 40% des retinalen Nervenfasergewebes zeigen würden.

Fallbeispiel 7:

Eine 63-jährige Frau mit positiver Familienanamnese auf Altersbedingte Makuladegeneration (AMD) der Mutter und der Oma mütterlicherseits kam aufgrund persönlicher Empfehlung zum optometrischen Screening zu uns.

Die mit dem non-contact Tonometer ermittelten Augeninnendruckwerte waren beidseits im Normbereich.

Die subjektive Refraktion ergab folgende Ergebnisse:
R: +1,00 -0,50 75°
L: +1,75 -0,75 80°
Add.: 2,50
Vcc: 1,0 beidseits

Das Amsler-Gitter sah für die Kundin rechts wie links regelgerecht aus.

Relevante Spaltlampenbefunde der Nichtraucherin lagen nicht vor.

Die Fundusfotografie des rechten Auges sah wie folgt aus:

 

Abbildung 22 - zentraler Fundus, rechtes Auge

Infero-temporal der Makula sind mehrere kleine weiß-gelbliche Läsionen zu erkennen (Abb. 22, grüner Kreis). In der Darstellung mit Grünfilter sind sie schlecht zu identifizieren (Abb. 23). In der Infrarotbildgebung zeigen sich die Läsionen deutlich (Abb. 24, grüner Kreis).

Das rote Licht dringt bis in tiefere Netzhautschichten vor, das grüne hingegen in die oberflächlichen Netzhautschichten vor. Deshalb lässt sich hierüber bereits eine erste Einschätzung über die Lage der Läsionen treffen.

Abbildung 23 - zentraler Fundus, Grünfilter, rechtes Auge
Abbildung 24 - zentraler Fundus, Infrarot, rechtes Auge

Die in Abbildungen 25 und 26 identifizierbaren Ausbuchtungen der Interdigitation Zone, der Photorezeptoren-Außensegmente und des RPE-Bruch´s Komplexes entsprechen dem Erscheinungsbild von flachen Drusen (gelbe Ellipsen).

Abbildung 25 - horizontales OCT Schnittbild im Bereich der Makulasenke, rechtes Auge
Abbildung 26 - vertikales OCT Schnittbild im Bereich der Makulasenke, rechtes Auge
Abbildung 27 - zentraler Fundus, linkes Auge

In Abbildung 27 sind einzelne weiß-gelbliche Läsionen der linken Netzhaut zu sehen (grüne Pfeile). Wie bei den Darstellungen des rechten Auges, sind die Läsionen im rotfreien Licht schlecht (Abb. 28, grüne Pfeile), im infraroten Licht genauer zu identifizieren (Abb. 29, grüne Pfeile).

Abbildung 28 - zentraler Fundus, Grünfilter, linkes Auge
Abbildung 29 - zentraler Fundus, Infrarot, linkes Auge

Die links flacher als rechts ausgeprägten Drusen nahe der Makula sind im OCT auszumachen (Abb. 30 und 31, gelbe Ellipsen).

Abbildung 30 - horizontales OCT Schnittbild nahe der Makula, linkes Auge
Abbildung 31 - vertikales OCT Schnittbild nahe der Makula, linkes Auge

Die OCT Schnitte zeigen bei unserer Kundin ein Frühstadium der AMD. Der Amsler-Test war, wie erwähnt, beidseits zum jetzigen Zeitpunkt, negativ. Sie bekam ein Amsler-Gitter zum Selbsttest mit nach Hause und wurde gebeten, diesen von Zeit zu Zeit durchzuführen. Die Tatsache, dass sie nicht raucht, wirkt sich positiv bei AMD aus. Sie bekam den Tipp, grünes Gemüse, wie Mangold zu verzehren, da dies den Stoffwechsel an der Retina unterstützt.

Bei entstehenden Metamorphopsien wurde sie angewiesen, ihren Augenarzt zu konsultieren. Im Fall, dass es gleichbleibend erscheint, wird sie zum Kontrolltermin in sechs Monaten eingeladen werden.

Fazit

Die Investition in die optometrische Ausbildung sowie die Anschaffung der Geräte, macht sich täglich bezahlt. Der Mehrwert für die regionale Bevölkerung ist aufgrund des hohen Zulaufs und der direkten Weiterempfehlung als hoch einzuschätzen. Die Kommunikation mit den Augenärzten und Kliniken erweist sich als vorteilhaft für die Kunden. In Bezug auf die Augenärzteschaft sei bemerkt, dass eine Entwicklung hin zu einem Miteinander auf Augenhöhe, im Sinne des Kundenwohls, sehr wünschenswert wäre. Hier ist Potenzial für eine ausgewogene Kommunikation nach oben offen. Dass unsere Kundschaft diesen Ausbau an Dienstleistung sehr wertschätzt, bestärkt uns auf unserem Weg, denn die beschriebenen Fälle bestätigen die Sinnhaftigkeit und den Bedarf an optometrischer Dienstleistung in unserem augenoptischen Betrieb. Dies ist und bleibt unsere Motivation.

 

Verfasser: Hendrik Edelthalhammer, Master of Science in Vision Science and Business (Optometry)

Fachliche Unterstützung: Nina Müller, OD, M.Sc., Dipl. Ing. (FH) Augenoptik, FAAO, Universitäts Augenklinik Basel, Schweiz